Innovatie in tandheelkundige restauratie
Een klinisch casusverslag met ORMOCER® Admira Fusion 5, door Dr Hanke Faust
Directe restauraties bieden zowel functionele als esthetische voordelen. Ze maken het mogelijk om op een kosteneffectieve manier rekening te houden met de wensen van de patiënt. Met ORMOCER® Admira Fusion 5 zijn slechts 5 clustertinten nodig om zeer esthetische resultaten te bereiken dankzij de geoptimaliseerde lichtspreiding. De biocompatibiliteit is uitstekend dankzij de afwezigheid van monomeren van welke soort dan ook.
Praktijkvoorbeeld
Een 48-jarige patiënte met meervoudige allergieën en epileptische aanvallen kwam naar onze praktijk. Ze wilde een nieuwe esthetische restauratie ter vervanging van de oude behandeling die 10 jaar eerder was toegepast op tand 21 na een ongeval.
Naast een analoge of digitale prothetische oplossing bespraken we ook een restauratie met composietmateriaal of ORMOCER®.
Vanwege de primaire pathologie kozen we voor de relatieve droogmethode. De directe conservatieve restauratie met Admira Fusion 5 (VOCO GmbH, Cuxhaven) is een oplossing die geen van de conventionele monomeren bevat.
Dankzij het verbeterde kameleoneffect van het product werd voldaan aan de wens van de patiënt om een esthetische restauratie te laten plaatsen met een zo kort mogelijke behandeltijd.
Observatie en diagnose
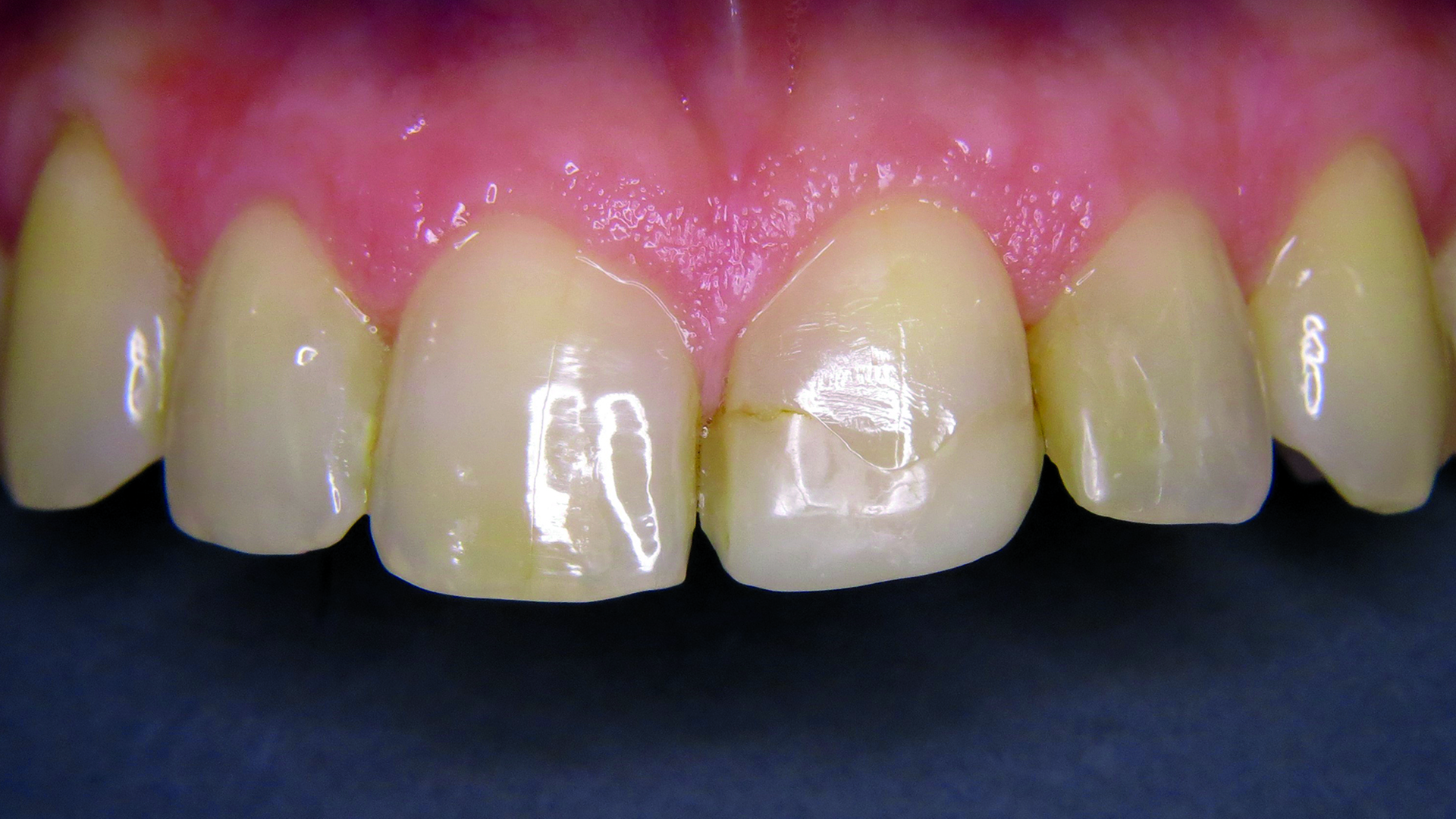
Klinisch toonde tand 21 een inadequate vulling met verkleuring aan de rand en marginale barsten. De gevoelige tand vertoonde klasse I gingivale recessie, met ongevoeligheid voor percussie, maar geen parodontale laesies.
De behandeling
De A2-tint werd geselecteerd met behulp van het "Cluster-Shades" systeem. We begonnen met het maken van een afdruk van de situatie met V-Posil Putty Fast (VOCO GmbH, Cuxhaven) om een gipsmodel te maken. Met Registrado Clear (VOCO GmbH, Cuxhaven) prepareerden we een individuele siliconensleutel voor de reconstructie van het palatinale oppervlak.

Er werd een plaatselijke verdoving toegediend met behulp van een adrenalinevrije Ultracain D-infiltratie (Sanovi-Aventis GmbH, Frankfurt/M.), gevolgd door het reinigen van de voortanden met een fluoridevrije profylactische pasta (KERR GmbH, Biberach). De inadequate vulling werd onder relatief droge omstandigheden verwijderd met behulp van een diamantboor en een boorkogel.
Tijdens het prepareren werd ervoor gezorgd dat de harde tandsubstantie werd beschermd met behulp van de adhesieve techniek met afgeschuinde glazuurranden. Vervolgens werd de full-etching techniek gebruikt. Vococid (VOCO GmbH, Cuxhaven), een fosforzuur van 35%, werd eerst ongeveer 15 seconden op het tandglazuur aangebracht, gevolgd door nog eens 15 seconden op het dentine.
We gebruikten Admira Bond (VOCO GmbH, Cuxhaven), dat een sterke hechting garandeert om lacunes aan de randen van de restauratie te voorkomen. Het product werd met een microapplicator gedurende 30 seconden in het glazuur en dentine gemasseerd. We brachten een zachte luchtstraal aan op de hechting, die vervolgens gedurende 20 seconden werd uitgehard met een uithardingslamp.
Alvorens Admira Fusion 5 aan te brengen, hebben we ervoor gezorgd dat de gehele locatie goed bedekt was met Admira Bond door te controleren op gelijkmatige glans. Bonding moet altijd selectief worden toegevoegd aan doffe of losse gebieden om postoperatieve overgevoeligheid te voorkomen.
We hebben de siliconensleutel aangepast voor het modelleren. De uitstekende modelleringseigenschappen van Admira Fusion 5 maken een zeer precieze vormgeving mogelijk en vergemakkelijken verdere anatomische modellering van de palatinale wand. Een vaste translucente matrix werd gebruikt als modelleerhulpmiddel voor de proximale oppervlakken. We werkten uitsluitend met Admira Fusion 5 "Cluster-Shade A2", die in lagen van 2 mm werd aangebracht.
Lichtuitharding werd uitgevoerd met een lamp (1.200 mW/cm2) op een economische manier gedurende 10 seconden per laag, waarbij het emissievenster zo dicht mogelijk bij het obturatieoppervlak werd gehouden voor een optimale uitharding.
Nadat de vulling was geplaatst, controleerden we de vorm en het oppervlak van de restauratie voordat we verder gingen met opruwen. We begonnen met een roterende diamant boor (rode en gele ring). Vervolgens gebruikten we zeer flexibele polijstschijven en polijstbanden (Super-Snap, SHOFU Dental GmbH, Ratingen) met korrelgroottes variërend van grof tot ultrafijn, terwijl we de occlusie en articulatie controleerden met een Hanel Shimstock occlusieblad (Coltene Whaledent AG, Altstätten/Zwitserland).
Speculair polijsten werd uitgevoerd onder waterkoeling en verminderde druk met Dimanto polijstmachines (VOCO GmbH, Cuxhaven) met een snelheid van 5000 tpm. Tot slot werd de restauratie gepolijst met CleanJoy fine polijstpasta (VOCO GmbH, Cuxhaven).
Resultaat
De patiënt is zeer tevreden met het resultaat van de restauratie. Aan het begin van de behandeling had tand 21 een inadequate en verkleurde vulling. De primaire pathologie van de patiënt vereist een snelle, maar esthetische anterieure restauratie, wat mogelijk was met één enkele tint, zonder tijdrovende lagen, dankzij het Admira Fusion 5 clustersysteem. Na speculair polijsten en fluoridering met Bifluorid 10 (VOCO GmbH, Cuxhaven) heeft de tand een natuurlijke, persoonlijke uitstraling.

Conclusie
De patiënt was zeer tevreden met het resultaat van de restauratie. Ondanks de grootte van het defect konden we een tijdrovende behandeling en dure maatregelen vermijden, in tegenstelling tot een indirecte restauratie. Als de eisen van de adhesieve tandheelkunde worden nageleefd, kunnen we een blijvende tevredenheid van de patiënt verwachten dankzij de uitstekende fysische en esthetische eigenschappen van het materiaal.
Naar de mening van de auteur is de nieuwe Admira Fusion 5 bijzonder aan te bevelen, omdat de toenemende druk voor kosteneffectiviteit en de hoge behandelingskosten een snelle, veilige en hoogwaardige behandeling noodzakelijk maken.
Dankzij de tijdsbesparing en de kleinere hoeveelheid die nodig is, is de kosten-batenverhouding duidelijk in het voordeel van het gebruik van het materiaal, aangezien er slechts 5 kleuren gebruikt en op voorraad gehouden hoeven te worden.
