CAS CLINIQUE : FERMER DE MANIÈRE CONTRÔLÉE LES TRIANGLES NOIRS Par le Dr Maarten de Beer (GC)

Comment fermer les triangles noirs ? Dans ce cas clinique, le Dr Maarten de Beer vous explique, étape par étape, comment réussir la fermeture des triangles noirs chez un patient de 34 ans qu’il a accueilli dans son cabinet.
Notification et situation initiale
Un patient de 34 ans s'est inscrit avec un souhait d'ordre esthétique. Monsieur a naturellement des éléments étroits. Il a donc de légers diastèmes et des triangles noirs. Cela gêne monsieur depuis un certain temps, et il a demandé à son dentiste de l'époque de réduire un peu les diastèmes avec du composite. Le résultat de ce traitement n'est toutefois pas satisfaisant (Figure 1).
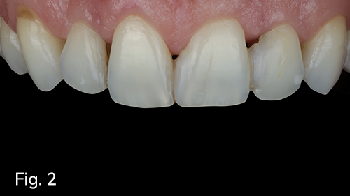
Monsieur est gêné par le fait que les triangles noirs sont toujours présents et que le composite est clairement « sur » la dent. Il constate également une différence de largeur entre la 11 et 21 et les restaurations sont difficiles à nettoyer et se décolorent rapidement (Figure 2).


Il y a également un fil de contention derrière les incisives et les éléments 11 et 21 sont solidarisés avec du composite. Ce fil de contention devra être retiré lors de tout traitement car il rend impossible de réaliser de bonnes restaurations proximales.
Monsieur souhaite désormais fermer les triangles noirs et les diastèmes et faire réaliser un composite qui correspond bien à sa dentition, qui soit facile à nettoyer et ne se décolore pas. À l'arrivée du patient, je prends un statut photo complet et une maquette rapide est faite avec du composite pour lui montrer les possibilités. Monsieur accepte le plan proposé et un rendez-vous est fixé pour le traitement.
Prise de teinte
La première étape du traitement consiste à prendre la bonne teinte. Différentes teintes de composite sont appliquées aux éléments afin de déterminer quelle teinte correspond le plus. Dans ce cas précis sont testés les G'ænial A'CHORD A2, A1, JE et AE (GC). En utilisant une photo à polarisation croisée, la lumière du flash est filtrée et la teinte peut être encore mieux évaluée. Pour fermer les diastèmes ou les triangles noirs, une seule teinte suffit souvent et il n'est pas nécessaire de recourir à une stratégie de satisfaction complexe. Dans ce cas, nous choisissons la teinte G'ænial A'CHORD A2 (GC), qui est la plus proche de la dentition.
Préparation et prétraitement
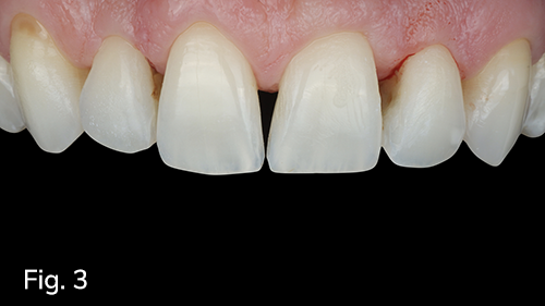
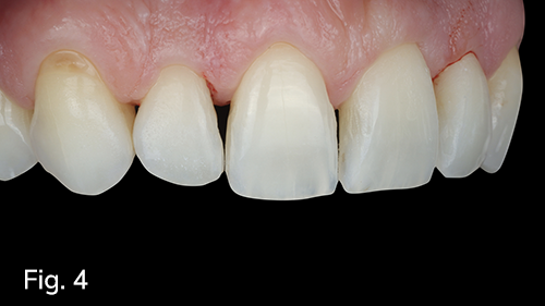
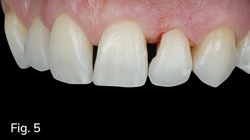
La gouttière de rétention et toutes les restaurations en composite sont déposées (Figures 3-5). Ensuite, une digue en caoutchouc est appliquée (Isodam heavy, sigma dental) des éléments 15 à 25 et des ligatures en fil dentaire (fil PTFE, tandex) sont placées pour davantage de rétraction gingivale. Un crampon supplémentaire (Brinker B13, Coltene) est placé à l'élément 4, pour obtenir plus de rétraction et bien isoler la récession. Ce crampon est stabilisé avec un composite fluide auto-mordançant (constic, DMG).
Tous les éléments sont soigneusement sablés à l'alumine 29 um (Aquacare Twin, Velopex) et mordancés à l'acide phosphorique 37% (UltraEtch, UltraDent). Ensuite, un primer et un bonding (Optibond FL, Kerr Dental) sont appliqués sur tous les éléments et l'élément 13 est restauré avec G'ænial A'CHORD A2 (GC).



Structure des restaurations
Ensuite, l'élément 12 du côté mésial sera restauré, suivi des éléments 11 et 21. Lors de la fermeture des diastèmes ou des triangles noirs, il est important d'obtenir une très bonne connexion cervicale, et de s'assurer que les deux éléments sont élargis de manière égale.
Comme la distance entre le collet et le bord incisif de ces dents est relativement importante, on commence par créer une petite base (ou « épaulement »), sur laquelle le reste de la dent est ensuite reconstruit. L'on utilise pour cela une bande préformée (BlueView VariStrip, Garrison) (Figure 6).

Une fois les épaulements réalisés, la bande est retirée et, si nécessaire, elle peut déjà être légèrement polie (par exemple, pour mieux répartir l'espace). La bande est ensuite repositionnée et l'espace entre l'épaulement et le bord incisif de l'élément 21 est rempli de composite (Figure 7). L'élément 11 est également construit (Figure 8). C'est ensuite au tour de l'élément 22.


Finition
Une fois tous les éléments constitués, ils sont soigneusement polis jusqu'à obtention d'un brillant élevé (Diacomp Plus Twist, EvE) et toutes les connexions sont vérifiées à l'aide d'un fil dentaire. Ensuite, une nouvelle contention est placée. Juste après le traitement, il y a toujours un triangle noir, car la digue en caoutchouc assure la rétraction de la gencive. Une différence de couleur peut également être visible entre les éléments et le composite en raison de déshydratation causé par la digue en caoutchouc. Il faut toujours en avertir le patient à l'avance.
Évaluation
Le patient est revenu deux semaines plus tard pour une évaluation. On voit une belle intégration du composite et on voit aussi que la papille est presque de retour (Figures 9-10).


Qui est le Dr Maarten de Beer ?

Maarten de Beer a obtenu son diplôme à l'université Radboud de Nimègue en 2015. Ensuite, il a été remplaçant dans plusieurs cabinets.
Il travaille chez Ijsselstrate Tandartsen à Dieren depuis 8 ans maintenant et se concentre principalement sur la dentisterie réparatrice. Avec passion, il vise la plus haute qualité dans tous les traitements, et cherche à rendre les restaurations invisibles.
Maarten est cofondateur de Karma.Dentistry, écrit régulièrement pour plusieurs revues professionnelles et joue un rôle prescripteur pour plusieurs sociétés dentaires. Il est très actif sur Instagram avec son compte @thedentaldutchman.